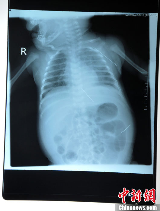
8月23日,黑龍江被“縫衣針”扎傷女嬰在哈爾濱醫科大學附屬第一醫院進行手術,成功取出三根長達4.5厘米的縫衣針,目前患兒正在術后觀察中,尚未脫離危險期。圖為三根鋼針在嬰兒體內的各個位置。(哈爾濱醫大一院供圖)中新社發
關于我們互聯網舉報中心范網絡詐騙聯系我們 視聽節目許可證0108263京公網安備110105000081號京網文[2011]0283-097號ICP:20100000002731
版權保護:本網登載的內容(包括文字、圖片、多媒體資訊等)版權屬中國日報網(北京英信聯信息咨詢公司)獨家所有 使用。 未經中國日報網事先協議授權,禁止轉載使用。給中國日報網提意見:contact@chinadaily.com.cn