
裝上2個仿生爪子的貓
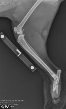
手術前貓腿X光照片
據英國媒體6月25日報道,英國獸醫諾埃爾·菲茨帕特里克利用新科技,給一只后腿嚴重受傷的貓裝上了2個仿生假肢,這種世界首創手術的成功有望在不久的將來提升人類假肢手術的水平。
英國廣播公司(BBC)一個叫做“仿生寵物”的欄目在第一期節目里詳細介紹了40歲的菲茨帕特里克醫生是如何利用前沿科技完成這個手術的。
接受手術的這只貓叫奧斯卡,今年2歲,9個月前,在一次事故中它的兩只后爪被聯合收割機切斷,險些喪生。正常情況下,3條腿的貓還能正常生活,但2條腿的貓就不行了。
菲茨帕特里克醫生說:“我們只能給它裝新腿,否則只能實施安樂死。但還沒人做過這樣的手術。”醫療團隊研究了鹿角如何生長,根據這個原理,他們把兩個特制的含鈦及其它成分的金屬棒,釘入奧斯卡的后腿。然后在金屬棒的末端安上仿生爪子。不過,奧斯卡以后只能在室內活動,因為這種假肢不合適戶外的環境。
菲茨帕特里克解釋說:“奧斯卡手術最大的突破口是,我們把金屬棒植入它體內后,成功地讓貓的骨頭和皮膚與這個植入物緊緊地生長在一起。”
據悉,菲茨帕特里克醫生還和F1國際方程式賽車的工程師們合作,以獲取最好的假肢材料。在最近的采訪中,他稱:“這項技術可以為將來的人類截肢患者提供一個治療模式,也能給那些缺了手腳的人帶來希望。”
(來源:中國日報網 蔡東海 編輯:信蓮)